Image Alt

Terapie

Il mio studio racchiude tutto ciò che amo: innovazione, dedizione, professionalità.
Nella piccola realtà di Ottobiano, in provincia di Pavia, siamo riusciti a creare uno studio medico d’eccellenza ed un punto di riferimento per tutti coloro che ricercano cure odontoiatriche di alto livello.

La nostra mission?
Ridarti uno splendido sorriso, in un ambiente moderno e confortevole.

Le Nostre Terapie

Offriamo un’ampia gamma di trattamenti odontoiatrici all’avanguardia, utilizzando tecnologie moderne e materiali di alta qualità per garantire risultati eccellenti e duraturi nel tempo.

Apparecchio Invisibile

Il sorriso che hai sempre desiderato, senza compromessi estetici

L'ortodonzia invisibile rappresenta la soluzione ideale per correggere malocclusioni e disallineamenti dentali mantenendo un aspetto naturale durante tutto il trattamento. Utilizziamo allineatori trasparenti personalizzati, praticamente invisibili, che permettono di raddrizzare i denti gradualmente. Sfrutta gli stessi principi ed esercita lo stesso tipo di forze tiranti per movimentare i denti dell’apparecchio fisso (tradizionale apparecchio in metallo con i ferretti), ma con diversi vantaggi per il paziente:

• Estetica: si notano appena e non ti limitano o creano disagio se sorridi e sei in compagnia, ma allineano i tuoi denti modo discreto
• Comfort: nessun fastidio da “stelline”) o fili metallici, si indossano e si sfilano con un semplice gesto e in pochi secondi, essendo progettati sull’impronta della bocca calzano alla perfezione
• Igiene: Puoi mangiare i tuoi cibi preferiti senza bisogno di fare rinunce, rispetto all’apparecchio fisso, gli aligners possono essere rimossi per mangiare e, dopo esserti lavato i denti puoi tornare ad indossarli
• Predicibilità: pianificazione digitale del risultato finale

Implantologia

La soluzione definitiva per sostituire i denti mancantii

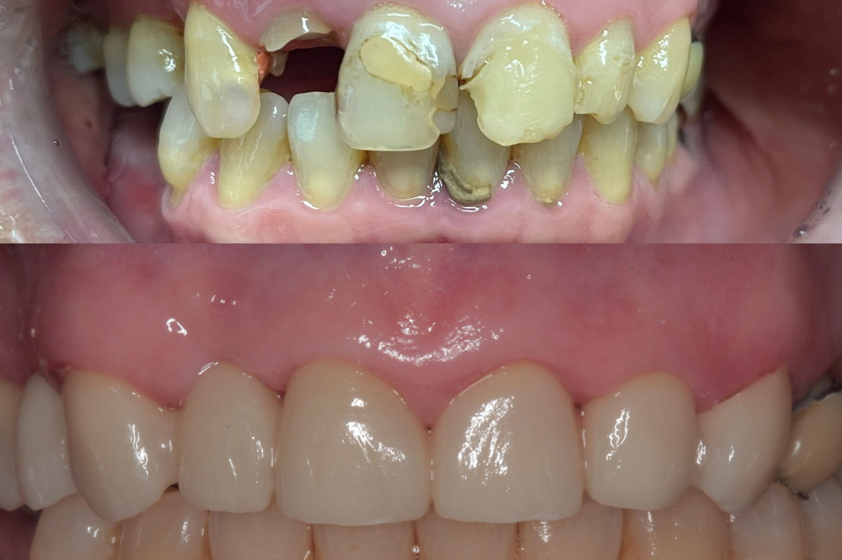
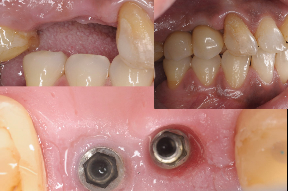
L'implantologia è attualmente la tecnica d’elezione per sostituire uno o più denti persi e ci garantisce un risultato estetico e funzionale ottimale. Il nostro approccio? Una diagnosi accurata con TAC 3D per una pianificazione precisa e l’utilizzo di tecniche mini-invasive per ridurre tempi di guarigione e discomfort. Spessissimo ricorriamo agli impianti dentali per aiutare i nostri pazienti a stabilizzare le loro protesi dentarie quando la classica “colla” non è più sufficiente.

Faccette Dentali

Trasforma il tuo sorriso con eleganza

Le faccette dentali sono sottili lamine in ceramica che vengono applicate sulla superficie esterna dei denti anteriori per correggere imperfezioni estetiche e ottenere un sorriso armonioso e luminoso.

Quando sono indicate:
• Denti scheggiati o usurati
• Scolorimenti permanenti non trattabili con sbiancamento
• Piccoli disallineamenti o spazi tra i denti
• Forma o dimensione dei denti non soddisfacente

I nostri materiali:
• Ceramiche di ultima generazione per massima naturalezza
• Preparazioni mini-invasive per preservare lo smalto
• Personalizzazione completa di forma, colore e trasparenza
• Resistenza e durabilità nel tempo

Chirurgia Orale

Interventi specialistici in massima sicurezza

Eseguiamo tutti gli interventi chirurgici del cavo orale, eseguiti con tecniche moderne e in condizioni di massima sterilità per garantire il miglior risultato terapeutico. Siamo specializzati in estrazioni dentali semplici e complesse e, soprattutto, estrazioni di denti del giudizio inclusi o malposizionati.

Protesi Dentarie

Ripristiniamo funzione ed estetica del sorriso

Le protesi dentarie sostituiscono i denti mancanti ripristinando la corretta funzione masticatoria e l'estetica del sorriso. Realizziamo protesi su misura utilizzando materiali di alta qualità e tecnologie digitali avanzate.

I nostri plus:
• Impronte digitali per massimo comfort
• Ceramiche biocompatibili e esteticamente eccellenti
• Prove multiple per perfetto adattamento
• Manutenzione e controlli periodici

Odontoiatria Conservativa

Preserviamo la salute naturale dei tuoi denti

L'odontoiatria conservativa si occupa della cura delle carie e del ripristino dei denti danneggiati, con l'obiettivo di preservare il più possibile la struttura dentale originale. Interveniamo tempestivamente per arrestare la progressione delle carie, utilizzando tecniche che preservano al massimo la struttura dentale sana. La cura della carie passa per tre fasi:
• Radiografia: Tramite radiografia verifichiamo la presenza della carie e della profondità raggiunta, la rimozione del tessuto infetto, che avviene in maniera scrupolosa cercando di rimuovere la minor quantità di dente ancora sano
• Disinfezione
• Ricostruzione del dente: Procediamo alla ricostruzione del dente con materiali ad hoc, che ci consentono di replicarne forma colore e consistenza.

Endodonzia

Salviamo i denti quando la polpa è compromessa!

Siamo altamente qualificati nel trattamento endodontico, poiché riteniamo che i denti naturali debbano essere preservati il più a lungo possibile e vadano sostituiti solo in casi particolarmente gravi. Per questa ragione abbiamo fatto dell‘endodonzia una delle nostre terapie principali.

L'endodonzia è la branca dell'odontoiatria che si occupa della terapia dell'endodonto, lo spazio interno al dente contenente la polpa dentale. Quando questa si infetta o si infiamma, è necessario intervenire per salvare il dente.

Una volta diagnosticato il mal di denti, è necessario raggiungere l’interno del dente ed eliminare per prima cosa tutto il tessuto infetto. la cura canalare avviene in diverse fasi tutte molto delicate.

Quando è necessaria:
• Carie profonde che raggiungono la polpa
• Traumi dentali con compromissione pulpare
• Dolore spontaneo intenso
• Ascessi e infezioni apicali

Parodontologia
Curiamo le gengive per una bocca sana

La parodontologia si occupa della prevenzione e cura delle malattie che colpiscono il parodonto: gengive, legamento parodontale, cemento radicolare e osso alveolare.

Collaboriamo con Dottoresse igieniste dentali altamente qualificate e costantemente aggiornate sui protocolli più innovativi e le terapie più mirate, esperte in terapia parodontale non chirurgica e cariologia.

Parola d’ordine? Prevenzione! Con controlli periodici e sedute di igiene professionale a cadenza periodica.

Nel nostro studio potrai provare l’esperienza di una seduta di igiene orale indolore, grazie ai macchinari di ultima generazione di cui ci avvaliamo e l’utilizzo del protocollo GBT.

Patologie trattate:
• Gengivite: infiammazione reversibile delle gengive
• Parodontite: infezione che compromette i tessuti di sostegno del dente
• Recessioni gengivali con esposizione radicolare

Sbiancamento Professionale

Un sorriso più bianco e luminoso in tutta sicurezza

Lo sbiancamento professionale è il trattamento estetico più richiesto in studio e ti consente di ottenere denti decisamente più bianchi e un sorriso più luminoso; mentre con la seduta di igiene orale siamo in grado di rimuovere solo le macchie e discromie più superficiali, durante lo sbiancamento utilizziamo degli agenti sbiancanti che penetrano nello smalto e disgregano i pigmenti rendendo il dente più chiaro.

Attualmente in studio effettuiamo due tipi di sbiancamento dentale:

1)Sbiancamento dentale veloce alla poltrona CLICK

È un trattamento illuminante eseguito dalle nostre dottoresse igieniste subito dopo la seduta di igiene orale; dura solo 10 minuti e ti garantisce un effetto luminoso immediato. La sua delicatezza ci permette di poter effettuare il trattamento anche diverse volte nell’arco di un anno.

Ideale per —> prima di un evento speciale in cui vuoi sentirti WOW!

2)Sbiancamento professionale domiciliare con mascherine Attualmente è la tecnica di eccellenza per sbiancare in maniera definitiva ed efficace i tuoi denti. È una procedura sicura e controllata, amata dai nostri pazienti. Dopo una visita preliminare per valutare lo stato dentale e la fattibilità del trattamento, verranno create delle mascherine personalizzate su misura che utilizzerai per sbiancare i denti in tutta tranquillità da casa tua, magari la notte mentre dormi!

Ideale per —> chi vuole ottenere un risultato pazzesco direttamente da casa!

Progettiamo insieme il tuo sorriso

Siamo uno studio dentistico all’avanguardia, specializzato nel trovare le soluzioni
più adatte per ogni esigenza dentale e nel restituire al tuo sorriso funzionalità e armonia.

Per maggiori informazioni o per prenotare una consulenza specialistica, contattaci senza esitazione.

Il nostro team è pronto ad accoglierti e a valutare insieme il piano di cura più adatto alle tue esigenze, offrendo un’ampia gamma di trattamenti odontoiatrici:

Apparecchio Invisibile – per un sorriso allineato in modo discreto.
Implantologia – soluzioni stabili e naturali per sostituire i denti mancanti.
Faccette Dentali – per migliorare estetica e armonia del sorriso.
Chirurgia Orale – interventi sicuri e precisi, eseguiti con tecniche moderne.
Protesi Dentarie – funzionali, confortevoli e dall’aspetto naturale.
Odontoiatria Conservativa – per preservare i tuoi denti in modo efficace e duraturo.
Endodonzia – trattamenti canalari accurati per salvare denti compromessi.
Parodontologia – cura e prevenzione delle malattie gengivali.
Sbiancamento Professionale – per un sorriso luminoso e brillante.

Terapie

Offriamo un’ampia gamma di trattamenti odontoiatrici all’avanguardia.

STUDIO ODONTOIATRICO

Pagamenti personalizzati

Per noi, essere vicini ai nostri pazienti significa non solo prendersi cura del loro sorriso, ma anche comprendere le loro esigenze economiche.

Sappiamo che ogni situazione è unica, ed è per questo che offriamo soluzioni di pagamento flessibili e su misura.

Insieme valuteremo le diverse opzioni disponibili  per trovare la formula più adatta al tuo budget, senza rinunciare alla qualità delle cure.

La tua salute dentale è importante, e vogliamo renderla accessibile a tutti con massima trasparenza e senza sorprese. Contattaci per trovare la soluzione più comoda per te!

 Dott.ssa Martina Loiacono

Close

STUDIO ODONTOIATRICO
Dott.ssa Martina Loiacono

Orari

Mar -Ven: 9.00 – 19.00

Contatti

Piazza Italia 16, Ottobiano 27030
Tel: +39 3888077214

dental.ottobiano@gmail.com